Skip to main content
< Back to news
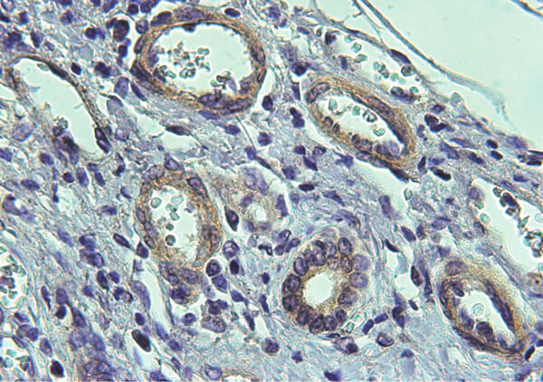
Pathological blood vessels (white circles), with abundant CPEB4 expression in cirrhotic tissue (IRBBarcelona/IDIBAPS).
 11.12.2015

Scientists in Barcelona discover a potential treatment for cirrhosis

Scientists from the Institute for Research in Biomedicine (IRB Barcelona) at PCB and the August Pi i Sunyer Biomedical Research Institute (IDIBAPS) reveals a therapeutic target to prevent the development of the many abnormal blood vessels that cause gastrointestinal bleeding—the main complication in cirrhosis. The results of the study have been published in the most recent issue of Cirrhosis is the main risk factor for liver cancer. The same target may be the key to preventing and treating this condition.

 

Scientists headed by Raúl Méndez, ICREA research professor at IRB Barcelona, and Mercedes Fernández, at IDIBAPS, reveal that the inhibition of CPEB4 protein may prevent the development of the abnormal blood vessels associated with cirrhosis. Pathological angiogenesis is one of the most serious complications in patients with cirrhosis and a key factor in the development and worsening of the disease.

Cirrhosis is a chronic lesion characterised by the accumulation of scar tissue (fibrous nodules), which alters the normal structure and function of the organ. The accumulation of scar tissue impedes blood circulation in the liver, thus leading to portal hypertension (the portal vein). To relieve the pressure in the vein, collateral blood vessels develop outside the liver. The problem is then two-fold, first because the liver receives even less blood, thereby causing greater damage to the organ, and second because the blood vessels are of poor quality (pathological angiogenesis).

“Hepatic cells try to repair liver lesions, but the way by which they do this turns out to be fatal for the organ. This is a loop that gets bigger and finally threatens the patient’s life. Also, the collateral blood vessels form varicose veins in the oesophagus and stomach of patients with cirrhosis; these veins are fragile and have a high tendency to burst, causing heavy bleeding that is difficult to stop,” explains Mercedes Fernández, from IDIBAPS and co-leader of the study. “This is why a treatment that regresses and/or prevents pathological veins—which is not currently available—would be efficient,” she adds.

 

A target named CPEB4

VEGF (vascular endothelial growth factor) is the main effector protein in the development of blood vessels. “All current drugs that aim to prevent neovascularisation are based on inhibiting VEGF or VEGF receptors, but the problem is that indiscriminate attack of this protein impairs the normal development of blood vessels, thus causing unbearable adverse effects,” explains Méndez, from IRB Barcelona. 

In a previous study published in Nature Medicine, Méndez, together with researchers at the Hospital del Mar in Barcelona, had already discovered that CPEB proteins are involved in blood vessel development in pancreatic and brain cancer. Given the urgent need to identify new targets for pathological angiogenesis, Méndez and Fernández started collaborating to examine the role of CPEB4 in this process in the context of cirrhosis, a disease characterised by profound neovascularisation.

“The best about the study is that we demonstrate that the development of pathological blood vessels can be stopped by interfering with CPEB4 proteins while positive vascularisation remains intact,” says Méndez. The experiments in cells in vitro, in animal models, and in samples taken from patients with cirrhosis have revealed the molecular mechanisms through which the increase in CPEB4 favours the overexpression of VEGF in cirrhosis.

• Reference article:
Sequential Functions of CPEB1 and CPEB4 Regulate Pathologic Expression of VEGF and Angiogenesis in Chronic Liver Disease. Calderone V, Gallego J, Fernandez-Miranda G, Garcia-Pras E, Maillo C, Berzigotti A, Mejias M, Bava FA, Angulo-Urarte A, Graupera M, Navarro P, Bosch J, Fernandez M*, Mendez R*.Gastroenterology (2015). DOI: 10.1053/j.gastro.2015.11.038