Skip to main content
< Tornar a notícies
Els inntags són una nova eina per marcar proteïnes (Imatge: laboratori del Dr. Aldea)
 08.09.2015

Científics de l’IRB Barcelona, l’IBMB-CSIC i el BSC descobreixen un nou mètode més innocu per etiquetar proteïnes

L’estudi realitzat en les instal·lacions del Parc Científic de Barcelona, seu de dos dels instituts que han participat, ha revelat un nou mètode per a l'etiquetatge de proteïnes que preserva les funcions natives de les proteïnes i la seva estructura.

L’Institut de Recerca Biomèdica de Barcelona (IRB Barcelona) i l’Institut de Biologia Molecular de Barcelona (IBMB-CSIC), tots dos ubicats al Parc Científic de Barcelona, en col·laboració amb el Barcelona Supercomputing Center (BSC) i la Universitat de Barcelona (UB) participen en un estudi que ofereix un nou mètode per fer un seguiment més net de proteïnes dins les cèl·lules.

L’estudi realitzat a les instal·lacions del Parc Científic de Barcelona, seu de dos dels instituts que han participat, ha revelat un nou mètode per a l’etiquetatge de proteïnes que en preserva les funcions natives la seva estructura.

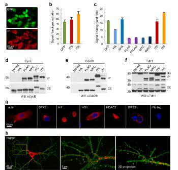
Publicat a Nature Methods, la revista més prestigiosa per presentar resultats de desenvolupament de mètodes, proposa l’ús d’epítops (una mena d’antígens) de proteïnes de dues plantes, anomenats inntags, com eines més innòcues i estables d’etiquetatge per estudiar les interaccions físiques i funcionals de proteïnes.

Les proteïnes i els pèptids de diverses mides i formes s’han utilitzat des dels anys 80 per etiquetar proteïnes amb molts propòsits diferents, que van des de la purificació a la detecció microscòpica basada en la fluorescència en organismes complets. No obstant això, en les estratègies d’etiquetatge utilitzades a dia d’avui es corre el risc que la funció nativa de la proteïna s’anul·li o quedi compromesa per les interaccions amb l’etiqueta.

Un estudi liderat per investigadors de l’Institut de Biologia Molecular de Barcelona del CSIC, del Programa Conjunt de Biologia Computacional de l’Institut de Recerca Biomèdica (IRB Barcelona) i el Barcelona SuperComputing Center (BSC), i la Universitat de Barcelona, ha analitzat la llista disponible de polipèptids amb estructura 3D coneguda per identificar entre ells els més adequats per ser usats com a etiquetes.

Els investigadors han seleccionat els dominis més petits de proteïnes que encara mostren forts determinants estructurals per actuar com a antígens, no generen problemes de solubilitat, no comprometen la salut de les cèl·lules i no causen efectes detectables en funció ni localització quan es fusionen amb altres proteïnes diana.

Primer, els científics van usar una sèrie d’eines bioinformàtiques per escanejar tot el proteoma i seleccionar aquelles proteïnes que podrien, en principi, tenir bones propietats de marcatge. Després d’una revisió manual dels resultats in silico, van assajar in vivo 12 candidats a etiqueta, trobant per a tots ells excel·lents propietats. Els inntags mantenen la seva integritat, són estables, són solubles en extractes de cèl·lules, tenen mobilitat de difusió i no causen pertorbacions funcionals importants que sí causen altres etiquetes usades habitualment, com MYC, FLAG o HA.

La tecnologia desenvolupada obrirà noves possibilitats per als investigadors en biologia cel·lular, ja que els proporcionarà un mètode més ordenat i imparcial per fer seguiment de proteïnes dins la cèl·lula.