Skip to main content
< Tornar a notícies
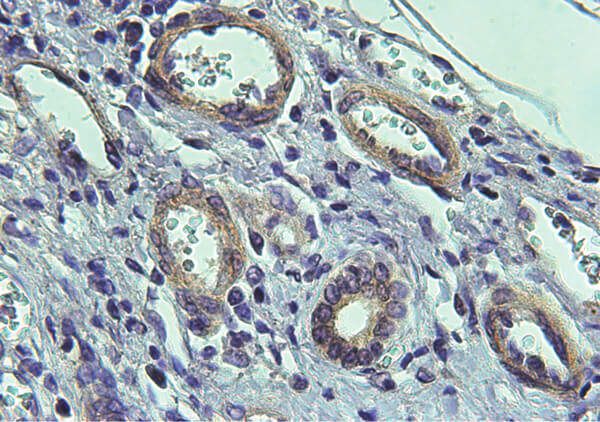
Vasos patològics (cercles blancs), amb abudant expressió de proteïna CEPB4, en un teixit cirròtic (IRB Barcelona/IDIBAPS).
 11.12.2015

Científics de Barcelona descobreixen un possible tractament per a la cirrosi

Científics de l'Institut de Recerca Biomèdica (IRB Barcelona) al PCB i de l'Institut d'Investigacions Biomèdiques August Pi i Sunyer (IDIBAPS) ​​revelen una diana terapèutica per evitar la formació dels nombrosos vasos sanguinis anòmals causants d'hemorràgies digestives, principal complicació en cirrosi. Els resultats de l'estudi es publiquen a l'últim número de Gastroenterology, la revista científica més rellevant en malalties gastrointestinals. La cirrosi és el major factor de risc per a l'aparició de càncer de fetge. La mateixa diana podria ser clau per prevenir-lo i tractar-lo.

 

L’equip de científics, liderats per Raúl Méndez, investigador ICREA de l’IRB Barcelona, i Mercedes Fernández, de l’IDIBAPS ,  ​​assenyalen la proteïna CPEB4 com la molècula a inhabilitar per evitar la generació de nous vasos sanguinis anòmals associats a cirrosi. L’angiogènesi patològica és una de les complicacions més importants en pacients amb cirrosi i un factor clau en el desenvolupament i agreujament de la malaltia. Per això, s’investiguen teràpies per combatre-la. 

La cirrosi és una lesió crònica del fetge caracteritzada per l’acumulació de cicatrius (nòduls fibrosos) en el teixit que interfereixen en l’estructura i el funcionament normal de l’òrgan. El cúmul de cicatrius complica la circulació de la sang a través del fetge, generant hipertensió portal (de la vena porta). Per alliberar pressió a la vena, es generen vasos sanguinis col·laterals, fora del fetge. El problema llavors és doble, primer perquè encara arriba menys sang al fetge el que genera més dany hepàtic i, a més, els vasos són de mala qualitat (angiogènesi patològica).

“Les cèl·lules hepàtiques intenten reparar les lesions però la manera en què ho fan és nefasta per a l’òrgan. És un cercle que es va amplificant i que acaba sent molt crític per a la vida dels pacients. A més, els vasos col·laterals formen varius a l’esòfag i estómac dels pacients amb cirrosi; aquestes varius són molt fràgils i són propenses a trencar-se causant hemorràgies intenses molt difícils d’aturar”, explica Mercedes Fernández, de l’IDIBAPS i co-líder de l’estudi. “Per això, una teràpia dirigida a revertir els vasos patològics, que no existeix ara per ara, seria eficient”, afegeix.

 

Una diana anomenada CPEB4

La principal proteïna efectora en la generació de vasos sanguinis és VEGF (vascular endothelial growth factor). “Tots els fàrmacs actuals que busquen evitar la neovascularització es basen en inhibir VEGF o els receptors de VEGF però el problema és que atacant aquesta proteïna de manera indiscriminada inhabilites la generació normal de vasos amb el que els efectes adversos són intolerables”, explica Méndez, de l’IRB Barcelona.

Arran d’un estudi anterior publicat a Nature Medicine, Méndez ja havia descobert al costat d’investigadors de l’Hospital del Mar de Barcelona, ​​que les CPEB intervenen en la generació de vasos sanguinis en càncer de pàncrees i cervell. Donada la urgència de trobar noves dianes per a l’angiogènesi patològica, Méndez i Fernández van iniciar una col·laboració per estudiar el rol de CPEB4 en angiogènesi patològica en el context de la cirrosi, on la neovascularització és molt abundant.

“El més bonic del treball és que vam demostrar que interferint en les proteïnes CPEB4 eliminem únicament la formació de vasos patològics, mentre que la vascularització positiva es manté intacta”, assenyala Méndez. Els experiments en cèl·lules en vitro, en models animals i en mostres procedents de pacients amb cirrosi han revelat els mecanismes moleculars pels quals l’augment de la CPEB4 afavoreix la sobreexpressió de VEGF en cirrosi.

 Article de referència:
Sequential Functions of CPEB1 and CPEB4 Regulate Pathologic Expression of VEGF and Angiogenesis in Chronic Liver Disease. Calderone V, Gallego J, Fernandez-Miranda G, Garcia-Pras E, Maillo C, Berzigotti A, Mejias M, Bava FA, Angulo-Urarte A, Graupera M, Navarro P, Bosch J, Fernandez M*, Mendez R*.Gastroenterology (2015). DOI: 10.1053/j.gastro.2015.11.038